¿CÓMO SE FORMA UN CÁNCER?
El Cáncer es una enfermedad muy temida por ser la causa de millones de defunciones, complicaciones, causa de cirugías, quimioterapia, radiaciones y gasto de grandes cantidades de dinero por parte de los afectados.
A través de la historia de la humanidad el incremento de los casos de cánceres por aumento de la población, la vida del ser humano esta sumamente contaminada actualmente, vivimos con radiaciones (invisibles) lo que nos causa alteración en nuestros genes y así se degeneraran las células en un cáncer. Dependiendo de la posición geográfica de un país, los factores dietéticos, raza, predisposición genetica tienen un papel importante en el desarrollo y las estadísticas de los cánceres.
Para que se produzca un cáncer es necesario que de forma acumulativa y continuada se produzcan alteraciones celulares durante un largo periodo de tiempo, generalmente años.
El ser humano cada vez envejece y por lo tanto los órganos internos tienen más riesgo de tener enfermedades degenerativas.
Como se forma un cáncer, por lo general la evolución de un cáncer es silenciosa se desarrollan internamente en nuestros organos y la sintomatología aparece hasta que el cáncer se detecte en fases muy avanzadas.
En el aparato digestivo pasan varios años para que se degenere una lesión que se detecta por medio de la endoscopia como son los tumores denominados pólipos.
Estos pequeños tumores (pólipos) algunos desaparecen solos ó se degeneran en un cáncer, van creciendo lentamente y sus células se van degenerando poco a poco sin causar ninguna sintomatología. La única forma de darnos cuenta de lo que esta sucediendo internamente en nuestro organismo es por medio de exámenes médicos especializados.
No se deje sorprender por un cáncer, un chequeo médico se lo puede prevenir y salvarle la vida.
¿Cuales son los cánceres más frecuentes?:
En el Hombre: Cáncer de Próstata, Cáncer Gástrico, Colon y Recto.
En La Mujer: Mama, Uterino, Gástrico, Ovarios, Colon y Recto.
Todos estos cánceres pueden ser prevenibles pero siguen flagelando a la humanidad por puro descuido.
¿Cuáles son los exámenes recomendados para cada persona. (Después de los treinta años)?.
Mujeres:
Endoscopia del Aparato Digestivo Superior cada tres años, Colonoscopia completa cada cinco años, Mamografía cada 2 años, citología cada año, ultrasonografía abdominal cada dos años, ultrasonografía de órganos pélvicos cada 2 años, además con sus respectivos exámenes de laboratorio. Solo asi se puede prevenir los cánceres más frecuentes que siguen aniliquilando a la humanidad. Esto significa la prevención para cada adulto.
Hombres:
Endoscopia del Aparato Digestivo Superior cada tres años, Colonoscopia completa cada cinco años, ultrasonografía abdominal cada dos años, exámenes de la próstata como el antigeno prostático especifico y ultrasonografía prostática tanto rectal como pélvica, además con sus respectivos exámenes de laboratorio. Solo asi se puede prevenir los cánceres más frecuentes que siguen aniliquilando a la humanidad. Esto significa la prevención para cada adulto.
Si los exámenes especializados se practicaran de rutina como las vacunas en niños, no aparecieran los cánceres, porque los detectaríamos en fases tempranas, cuando hay curación.
Por esto recomendamos a toda persona adulta como medida de prevención los exámenes mencionados arriba.
El cáncer se origina cuando las células normales se transforman en cancerígenas, es decir, adquieren la capacidad de multiplicarse descontroladamente e invadir tejidos y otros órganos.
Este proceso se denomina carcinogénesis.
La carcinogénesis dura años y pasa por diferentes fases. Las sustancias responsables de producir esta transformación se llaman agentes carcinógenos. Un ejemplo de ellos son las radiaciones ultravioleta del sol, el asbesto o el virus del papiloma humano.
La primera fase comienza cuando estos agentes actúan sobre la célula alterando su material genético (mutación). Una primera mutación no es suficiente para que se genere un cáncer, pero es el inicio del proceso. La condición indispensable es que la célula alterada sea capaz de dividirse. Como resultado, las células dañadas comienzan a multiplicarse a una velocidad ligeramente superior a la normal, transmitiendo a sus descendientes la mutación. A esto se le llama fase de iniciación tumoral y las células involucradas en esta fase se llaman células iniciadas. La alteración producida es irreversible, pero insuficiente para desarrollar el cáncer.
Si sobre las células iniciadas actúan de nuevo y de forma repetida los agentes carcinógenos, la multiplicación celular comienza a ser más rápida y la probabilidad de que se produzcan nuevas mutaciones aumenta. A esto se le llama fase de promoción y las células involucradas en esta fase se denominancélulas promocionadas. Actualmente conocemos muchos factores que actúan sobre esta fase, como el tabaco, la alimentación inadecuada, el alcohol, etc.
Por último, las células iniciadas y promocionadas sufren nuevas mutaciones. Cada vez se hacen más anómalas en su crecimiento y comportamiento. Adquieren la capacidad de invasión, tanto a nivel local infiltrando los tejidos de alrededor, como a distancia, originando las metástasis. Es la fase de progresión.
Como resultado las células están aumentadas en número, presentan alteraciones de forma, tamaño y función y poseen la capacidad de invadir otras partes del organismo.
¿Como se Forma un Cancer?
El cáncer es una de las principales causas de muerte en todo el mundo; en 2008, causó 7,6 millones de defunciones (aproximadamente un 13% del total). Cada 4 de febrero, la Organización Mundial de la Salud (OMS) apoya a la Unión Internacional contra el Cáncer y promueve medios para aliviar la carga mundial de la enfermedad. La prevención del cáncer y el aumento de la calidad de vida de los enfermos son temas recurrentes.
El cometido fundamental del Programa de la OMS de Lucha contra el Cáncer es promover políticas, planes y programas nacionales de control del cáncer que estén integrados en las iniciativas de lucha contra las enfermedades no transmisibles y los otros problemas conexos. Sus funciones básicas consisten en establecer normas y criterios, promover la vigilancia y fomentar la prevención basada en datos científicos, la detección precoz y el tratamiento y los cuidados paliativos adaptados a los diferentes contextos socioeconómicos.
-
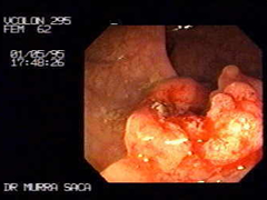
Adenoma velloso de gran tamaño:
Lesión precancerosa, el 40 % de los adenomas vellosos de tamaño pequeños se degeneran en cáncer, los pólipos de más de dos centímetros se consideran premalignos.
Clic aquí para descargar el video.
-
Polipeptomia:
La investigación en este campo ha demostrado que la mayoria de los tipos de cáncer de colon se originan a partir de pólipos (pequeños bultos benignos). La detección precoz y extracción de estos pólipos puede ayudar a prevenir la aparición de la enfermedad.
Clic aquí para descargar el video.
-
¿CÓMO SE FORMA UN CÁNCER?
Secuencia de imágenes de como se forma un cáncer.
-
¿CÓMO SE FORMA UN CÁNCER?
De 5 a 8 años, cáncer!
-
Cáncer rectal en la línea pectina:
El límite del ano con el recto, se nota que este tumor proviene de un pólipo que se ha degenerado. La teoría adenoma carcinoma. En esta región es suficiente el tacto rectal para detectar estos cánceres o pólipos. La mayoría de los cánceres aparecen por descuido de las personas al no tomar importancia de su salud.
Clic aquí para descargar el video.
Polipectomía: Método para eliminar pólipos sin cirugía abierta. Favor de descargar el video para apreciar esta interesante técnica de eliminar estos tumores sin cirugía abierta y de esta forma salvar a la persona de un posible cáncer de colon, recuerde que el cáncer es silencioso no da síntomas hasta que esta en fase avanzada, por lo tanto usted debe de someterse a un chequeo médico avanzado.
Si los exámenes especializados se practicaran de rutina como las vacunas en niños no aparecieran los cánceres, porque los detectaríamos en fases tempranas cuando hay curación.
Por esto recomendamos los examenes especializados. Es importante destacar la importancia del tacto rectal en todo chequeo médico sin este examen toda consulta o chequeo queda incompleto, ver la consecuencia de vivir con una colostomía. Es decir con su intestino por fuera y recolectar sus heces en una bolsa, y nunca volver a defecar por el ano, esto si una persona se descuida al aparecerle un cáncer del recto, la gran mayoría de los cánceres los detectamos a tiempo cuando todavía son curables.
El cáncer de colon como casi todos los canceres tiene una evolución silenciosa y cuando inician los sintamos por lo general los encontramos en fases avanzadas o terminales, desafortunadamente la mayoría de las personas no acuden a chequeos médicos completos por descuido o falta de cultura en materia medica. Si los canceres avisaren con anticipación nadie fallecería de esta mortal enfermedad que si es curable a tiempo.
Por eso los médicos recomendamos una revisión general con equipos modernos como son la Videoendoscopia del aparato digestivo superior y Videocolonoscopia.


Cancer Cómo se Produce
¿Que es el Cancer?
El cáncer es un conjunto de enfermedades producidas por la proliferación descontrolada de células anormales con capacidad de invasión y destrucción de otros tejidos. Este crecimiento excesivo inicialmente produce un tumor, el que puede producir daño a tejidos cercanos por compresión, o diseminarse a otros tejido. Se puede originar cáncer a partir de prácticamente cualquier célula o tejido de nuestro cuerpo.
¿Cómo se comportan las células y tejidos de nuestro cuerpo?
El cuerpo está constituido por millones de células que se agrupan para formar los tejidos y órganos. A medida que se produce uso, envejecimiento y/o daño de los tejidos, las células que lo componen se multiplican, reemplazando a las células envejecidas o muertas, para así mantener la integridad y el correcto funcionamiento de los distintos órganos. En la multiplicación de una célula, esta duplica todos sus componentes, para luego dividirse, originando dos células exactamente iguales a la original, tanto en estructura como función.
La multiplicación y división celular se produce a un ritmo determinado para cada tejido: es así como tejidos de recubrimiento (piel, epitelio del sistema digestivo), que requieren un rápido recambio, tienen una alta velocidad de multiplicación celular, a diferencia de otros tejido como el sistema nervioso, cuyas células casi no presentan multiplicación.
Otra característica importante de las células normales es que son especializadas para formar parte de un tejido específico y cumplir una función determinada: esta característica se denomina diferenciación. Es así que normalmente una célula que forma parte de un tejido no se encuentra en otro distinto, las células musculares se forman y crecen en los músculos y no en los huesos; las de los riñones no crecen en los pulmones, etc. Esto se debe a que las células, además de la función específica que adquieren en un tejido determinado, presentan moléculas en su superficie, que les permite estar unidas a células de ese tejido y no otro. Estas moléculas se denominan moleculas de adhesión.
¿Cómo se regula la reproducción de las células normales?
Aunque los diferentes tipos de células en el cuerpo cumplen funciones diferentes, todas son muy similares en su conformación. Las células tienen un centro llamado núcleo, donde se encuentra el ADN, código que contiene los genes que poseen toda la información que controla las funciones celulares. De esta forma son los genes los que deciden cuando una célula se divide, la función que debe realizar y hasta cuando debe morir.
Los genes se aseguran de que las células crezcan y se reproduzcan de una manera ordenada y controlada. Durante la multiplicación y división de las células, existen mecanismos de control que detectan errores en el proceso, y tratan de repararlo, de manera que las células hijas sean idénticas a la original, y sin errores. Cuando se produce un daño celular que no puede ser reparado o una mutación en su material genético, se produce una autodestrucción celular y estas células son desechadas por el sistema inmune, lo que impide que este daño sea heredado por las células descendientes.
¿Cómo una célula normal se convierte en célula tumoral?
Cuando los mecanismos de control encargados de eliminar éstas células defectuosas se alteran, el sistema permite que una célula y sus descendientes sigan dividiéndose descontroladamente, aún cuando el cuerpo no las necesita, lo que con el tiempo puede dar lugar a una masa o nódulo. Esta masa de tejido es lo que se llama tumor.
El proceso por el cual las células normales se transforman en células cancerosas se denomina carcinogénesis. La carcinogénesis dura años y pasa por diferentes fases. La primera fase comienza cuando agentes externos actúan sobre la célula alterando su material genético (mutación). Una primera mutación no es suficiente para que se genere un cáncer, pero es el inicio del proceso. La condición indispensable es que la célula alterada sea capaz de dividirse. Como resultado, las células dañadas comienzan a multiplicarse a una velocidad ligeramente superior a la normal, transmitiendo a sus descendientes la mutación. A esto se le llama fase de iniciación tumoral y las células involucradas en esta fase se llaman células iniciadas. La alteración producida es irreversible, pero insuficiente para desarrollar el cáncer.
Si sobre las células iniciadas actúan de nuevo y de forma repetida los agentes carcinógenos, la multiplicación celular comienza a ser más rápida y los mecanismos de control de errores se hacen insuficientes, aumentando la probabilidad de que se produzcan nuevas mutaciones. A esto se le llama fase de promoción y las células involucradas en esta fase se denominan células promocionadas. Por último, las células iniciadas y promocionadas sufren nuevas mutaciones. Cada vez se hacen más anómalas en su crecimiento y comportamiento. Adquieren la capacidad de invasión, tanto a nivel local infiltrando los tejidos de alrededor, como a distancia, originando las metástasis. Es la fase de progresión.
Qué diferencias tiene una célula tumoral de una célula normal?
Las células tumorales adquieren características que las hacen muy diferentes de una células normal:
Pierden la regulación en la reproducción, multiplicándose descontroladamente.
Las células hijas, por la rapidez en la multiplicación, no siempre son idénticas a la original, debido a fallas en los mecanismos de chequeo de errores.
Pierden su especialización
Pierden las uniones a las otras células que conforman un tejido
¿Todos los tumores son un tipo de cáncer?
Existen tumores benignos y malignos, siendo estos últimos los que se consideran cáncer propiamente tal. En ambos casos, las células que componen un tumor presentan un crecimiento y multiplicación descontrolados. Sin embargo, la principal diferencia está en que las células que componen los tumores malignos son capaces de invadir y destruir tejidos vecinos, así como migrar a otros tejidos lejanos, donde también producen daño.
Los tumores benignos tiene células que crecen y se multiplican sin control, pero en general lentamente, dando síntomas por el tamaño del tumor formado, que comprime o “empuja” tejidos aledaños. Muchas veces las células que lo componen son muy similares a las células normales del tejido donde se forma, y nunca adquieren la capacidad de invadir o dañar otros tejidos.
Por el contrario, las células cancerosas, que forman los tumores malignos, tienen una alta velocidad de multiplicación; a medida que se vuelven más agresivas, se parecen menos a las células del tejido original, volviéndose inmaduras o desdiferenciadas, ya que por la rapidez de su multiplicación no alcanzan a desarrollarse completamente antes de dividirse. Además, las células de los tumores malignos tienen la capacidad de invadir tejidos y órganos a su alrededor (infiltración), y de trasladarse y proliferar en otras partes del organismo (metástasis). Estas células cancerosas tienden a emigrar a otros lugares, a través de la sangre o la linfa. Las células del sistema inmune suelen destruirlas, pero si sobreviven pueden producir un nuevo crecimiento en un lugar diferente, metástasis, y dañar a otros órganos.
¿Cómo sobrevive una célula cancerosa en un tejido distinto?
Una característica importante de los tumores es que mientras crecen e invaden órganos sanos, promueven el nacimiento y aumento de vasos sanguíneos propios, conocidos como vasos de neoformación, los que permiten el acceso de las células tumorales a nutrientes y oxígeno. Como los tumores tienen un rápido crecimiento, tienen un alto consumo de energía y proteínas, por lo que es fundamental la irrigación sanguínea para el desarrollo de un tumor.
El cáncer provoca daño en los órganos que invade por competencia por la energía y nutrientes con las células normales del tejido. Además, produce la destrucción directa de las células normales. Finalmente, cuando es demasiado el daño a los tejido normales, los órganos comprometidos dejan de funcionar.
Endoscopia de Pólipo Pediculado Polipectomía
Polipectomía Pólipo Pediculado Rectal
Polipectomía de Pólipo del Colon Descendente
Extracción Endoscópica
Colonoscopia: Resección de masa pediculada multilobular del colon
Colonoscopia: Polipectomía Endoscópica de una adenoma del colon
Colonoscopia de Cáncer del Colon
Colonoscopia: Caso de Cancer del Colon en el Ciego
Colonoscopia: Caso de Cancer del Colon Descendente
Pólipo Grande del Colon Sigmoides
Resección Endoscópica de Masa Gástrica
Colonoscopia Resección Endoscópica de Masa Rectal
Resección Endoscópica de Tumor Rectal
Polipectomía Pólipo Gigante del Sigmoides
Polipectomía de Pólipo Gigante del Colon Descendente
Polipectomía de Pólipo del Colon Sigmoides
Polipectomía Pólipo Pediculado
Cancer Gástrico Gran Concierto Numero Dos
Enfermedades del Aparato Digestivo en el Adulto Mayor "Viva la Mañana"
CENTRO SCAN de El Salvador Resonancia Magnética
Endoscopia "La Historia no Contada" parte 1 (1/7)
Endoscopia "La Historia no Contada" parte 2 (2/7)


Siguenos en

















